Mit Invisalign gehören Zahnspangen der Vergangenheit an.
Die perfekte Behandlung für Kinder, Jugendliche und Erwachsene.
Für unsere Patienten ab 6 Jahren bietet sich die Korrektur der Zahnstellung mittels Invisalign an. Circa alle 4 - 8 Wochen erhalten die Patienten neu angepasste Aligner-Schienen aus einem durchsichtigen Kunststoff, die wöchentlich zu Hause gewechselt werden. Die Aligner können bequem die empfohlenen 22 Stunden am Tag getragen werden und werden nur zum Essen, Trinken oder Zähneputzen herausgenommen.

Invisalign First:
"Invisalign First" ist eine kieferorthopädische Frühbehandlung für Kinder im Alter von 6 - 10 Jahren. Das Ziel der Frühbehandlung ist die Entwicklung und Ausformung der Zahnkiefer, um Einzelzahnkorrekturen vorzunehmen und Platz für bestehende und kommende bleibende Zähne zu schaffen.
Invisalign Teen:
Im wesentlichen unterscheidet sich die "Invisalign Teen" Behandlung nicht zu der Behandlung für Erwachsene. Diese Behandlung eignet sich für Jugendliche ab 12 Jahren und ist speziell für das Durchbrechen von bleibenden Eckzähnen und Backenzähnen konzipiert.


Probieren Sie Ihr neues Lächeln in nur 60 Sekunden aus!
Klicken Sie auf diesen Link. Machen Sie ein Selfie, um Ihr SmileView Abenteuer zu beginnen.
Mit nur einem Klick zum Wunsch-Lächeln mit Invalign Smile View.
Über einen Zeitraum von 6 bis 12 Monaten konditioniert sich das Gebiss Millimeter für Millimeter. Sie spüren es kaum, die Aligner sind geschmacksneutral, sie tragen kaum auf und man sieht sie praktisch nicht.
Seit 1997 ist diese Technologie im Einsatz und wird stetig weiterentwickelt.
Bevor überhaupt die Behandlung beginnt, können Sie sich ihre gesamte "Invisalign-Reise" digital vorab ansehen. Mit einer entsprechenden Software wird nicht nur der individuelle Behandlungsplan erstellt und die genauen, gewünschten Bewegungen Ihrer Zähne beschrieben. Sie können dies auch vorab virtuell ansehen. Das schafft Sicherheit und Motivation, eine Zahnkorrektur in Angriff zu nehmen.

Die transparenten Invisalign-Aligner bestehen aus dem SmartTrack-Material, das die allgemeine Prognostizierbarkeit der Zahnbewegung im Vergleich zu handelsüblichen, einschichtigen 0,30-Zoll-Materialien um mehr als 75% verbessert.
Jeder Aligner-Wechseln ist ein kleiner Schritt zu Ihrer großen Verwandlung. Ihre Zähne werden angenehm und effizient in ihre Endposition bewegt.
Die 3 Schritte der Invisalign-Behandlung:
1. Die Beratung
Nachdem wir abgeklärt haben, ob sich eine Behandlung mit Invisalign anbietet, werden zunächst Fotos, Röntgenaufnahmen und digitale Scans von Ihren Zähnen gemacht. Anhand dieser Daten wird ein dreidimensionaler ClinCheck®-3D-Behandlungsplan erstellt – ganz auf Sie abgestimmt.

2. Die Aligner
Die Aligner werden speziell für Sie angefertigt. Sie erhalten also eine Reihe von individuell auf Sie zugeschnittenen Alignern, die Sie täglich tragen und zu Hause auswechseln können - durchschnittlich alle 1-2 Wochen.

3. Die Ergebnisse
Alle 4 bis 6 Wochen wird bei einem Praxistermin der Fortschritt kontrolliert, und Sie erhalten neue Aligner. Nach Abschluss Ihres Behandlungsplans benötigen Sie Stabilisierungsspangen, um Ihr neues Lächeln zu erhalten. Selbst optimal ausgerichtete Zähne kehren ohne Retention allmählich wieder in ihre ursprüngliche Position zurück.
Es gibt zwei Stabilisierungsmöglichkeiten:
Das Tragen eines Memotain-Retainers.
Das ist ein auf der Rückseite der Zahnreihe (und damit nicht sichtbar) eingeklebter dünner Draht. Memotain ist ein digital geplanter Retainer und wird anhand eines Intraoralscans erstellt. Durch die Positionierhilfe liegt der Memotain präzise and den Zähnen an und hält Ihre Zähne in ihrer neuen Position und schützt somit Ihr Lächeln und Ihre Investition.


Memotain Retainer Modell mit Übertragungskappe
Vivera Retainer
Das sind herausnehmbare Nachtschienen, die regelmäßig getragen werden müssen.

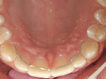
Die folgenden Bilder zeigen zunächst die Situation vor Beginn der Behandlung und schließlich nach Abschluss der Behandlung mit Invisalign:


Nachfolgendes Video "How it Works - DE" von "InvisalignEurope" veranschaulicht die Wirkungsweise der Invisalign-Methode:
..









